
Corrective Care
Phases of Disc Degeneration
Which Phase Are You? Let Us Help You Find Out.

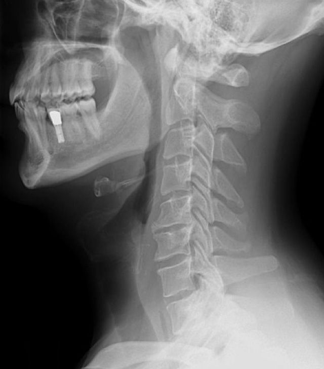
Normal Cervical Spine
Normal Curves and proper disc spacing allow normal function of the spine & nervous system.
Regardless of age, when spinal damage goes uncorrected, the body deposits calcium on the surface of the adjecent bones that aren't moving properly.
If neglected long enough, this splinting effect can result in complete fusion. This worsening process is called Subluxation Degeneration and can occur throughout the spine.
Researchers recognize several phases of spine delay:
Loss of normal curves and nervous system dysfunction result from uncorrected spinal trauma.
Usually seen as the misalignment and malfunction of the spine. Normal spinal motion, curves & disc spacing are altered. Because the body is so adaptable, this early phase can exist without warning of pain or other symptoms. If left uncorrected, the degeneration continues.
Phase I Cervical Spine


Bone spurs and abnormal bony growths distort the shape and function of the vertebrae.
Recognized by the X-ray views of the spine by visible bone spurs and rough edges of the vertebrae. Soft tissues, such as discs & Ligaments degenerate from the lack of normal joint movement. Again, pain or other symptoms may not be present.
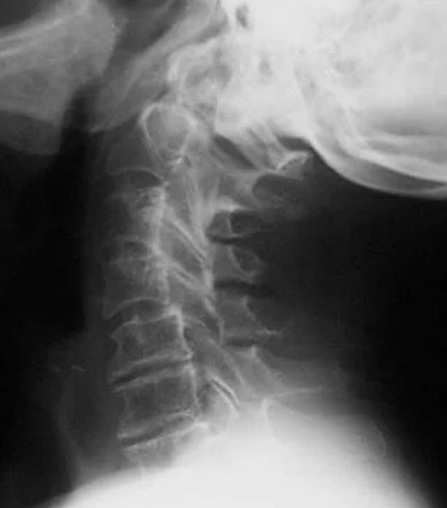
Phase II Cervical Spine
After years of neglect, the improperly functioning spinal joints often fuse together.
A lifetime of neglect may cause the eventual fusion of the malfunctioning joints. Atrophy permanent nerve damage, and soft tissue degeneration are prevalent. Reduced mobility and impaired nervous system function, diminish one's quality of life
Phase III Cervical Spine


This 75-year old patient prevented Subluxation Degeneration with many years of regular chiropractic checkups.
Subluxation Degeneration is how the body responds to improperly functioning spinal joints.
With early detection, adequate chiropractic care has been shown to slow, stop or even reverse the early stages of this process. Ask you doctor to design a program of preventive care of you.
